Lifetime Dental
Biological Dentists in Melbourne, VIC

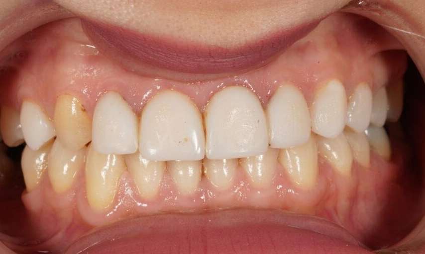
Resin Veneers

This patient’s stained canine tooth was expertly transformed with resin veneers, resulting in a stunning smile makeover. The custom veneer seamlessly blended with the surrounding teeth, erasing the discoloration and restoring a natural, even look. The before-and-after photos truly showcase the incredible difference, offering a refreshed and vibrant smile that enhances both aesthetics and confidence. It’s always rewarding to see such a remarkable improvement from a simple yet effective treatment!

Related Services:

Cosmetic Dentistry
We Warmly Welcome New Patients to Our Practice
Any surgical or invasive procedure carries risks. Before proceeding, you should seek a second opinion from an appropriately qualified health practitioner.