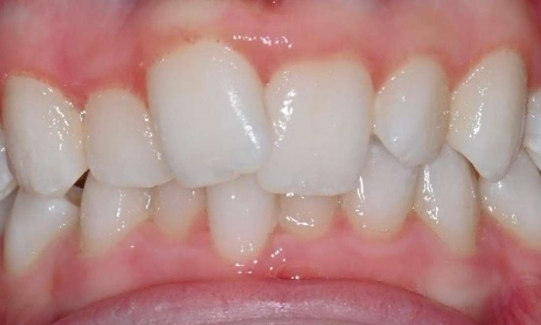
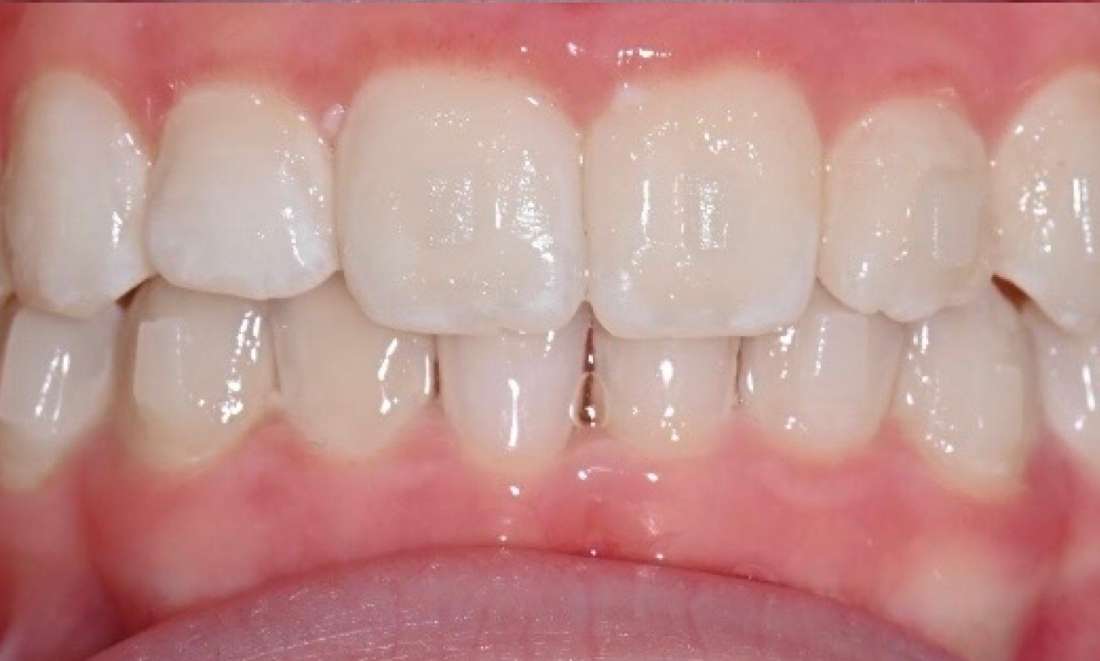
See the incredible difference clear aligner treatment can make! These before and after photos highlight the precise movement and stunning final result possible, helping patients in Prahran achieve their smile goals without traditional braces.
Any surgical or invasive procedure carries risks. Before proceeding, you should seek a second opinion from an appropriately qualified health practitioner.
Follow Us on Social Media!
Stay connected for updates, dental tips, and more!
Find us on Instagram and YouTube by clicking the logos below...