Lifetime Dental
Biological Dentists in Melbourne, VIC

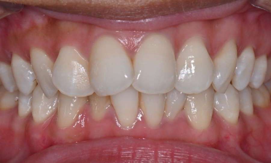
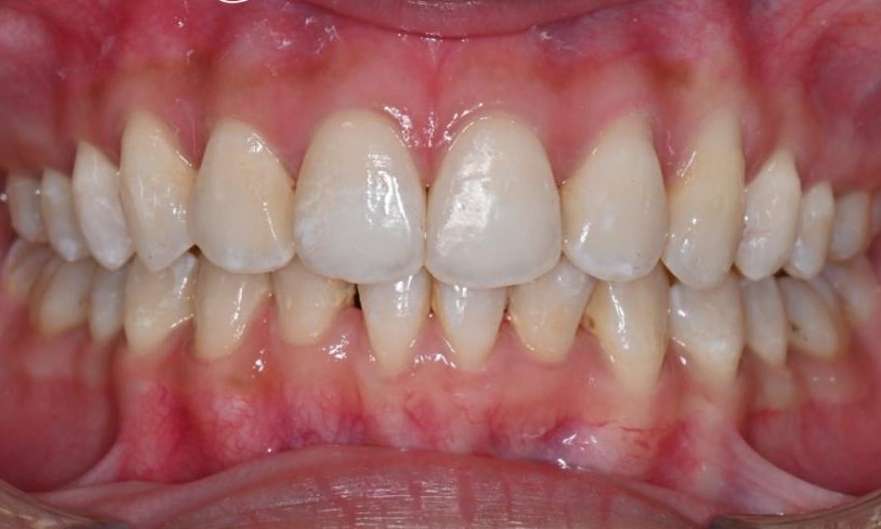
Orthodontic Treatment with Clear Aligners

Witness the transformative power of clear aligners! These photos show the remarkable journey to a beautifully straight, confident smile achieved discreetly and comfortably.

Related Services:

Orthodontics
Need Assistance? We Welcome Your Call
Any surgical or invasive procedure carries risks. Before proceeding, you should seek a second opinion from an appropriately qualified health practitioner.