Lifetime Dental
Biological Dentists in Melbourne, VIC

Clear Aligners and Veneers

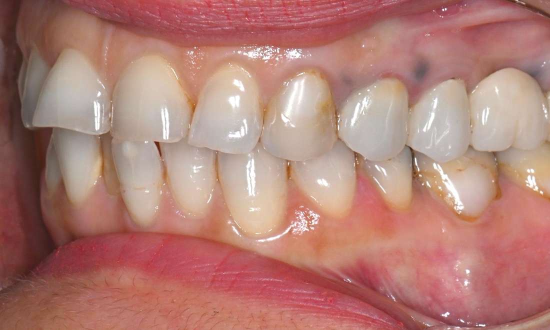
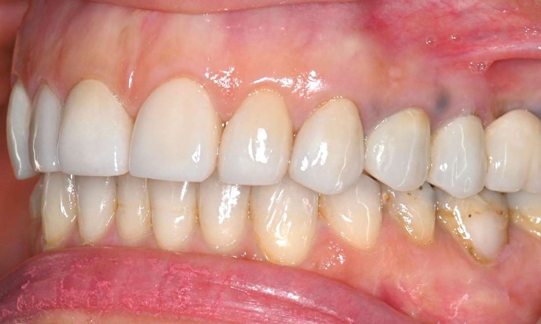
Unlock your smile's full potential! These before and after photos demonstrate the life-changing results achieved with clear aligner therapy combined with veneers. Imagine your own smile transformation – contact us today to learn more!

Related Services:

Cosmetic Dentistry
Orthodontics
We Warmly Welcome New Patients to Our Practice
Any surgical or invasive procedure carries risks. Before proceeding, you should seek a second opinion from an appropriately qualified health practitioner.