Lifetime Dental
Biological Dentists in Melbourne, VIC

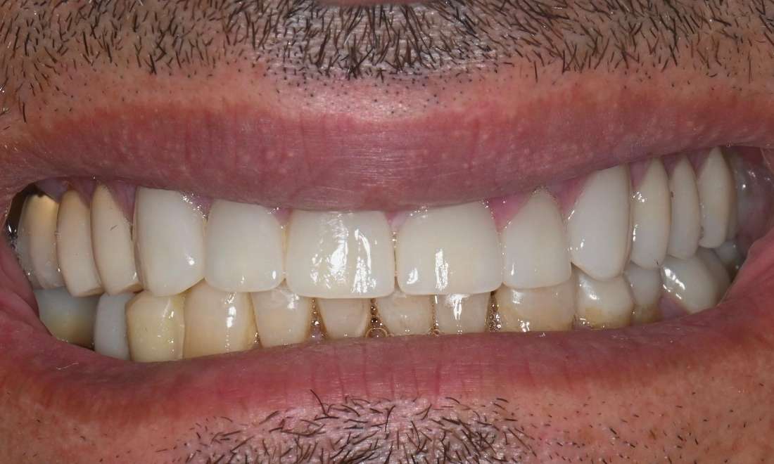
Full Mouth Rehabilitation

Full mouth rehabilitation can restore health, function, and beauty to your entire smile! These before and after photos show the incredible results possible with a comprehensive approach to dental reconstruction.

Are You Ready to Book Your Next Dental Visit?
Any surgical or invasive procedure carries risks. Before proceeding, you should seek a second opinion from an appropriately qualified health practitioner.