Lifetime Dental
Biological Dentists in Melbourne, VIC

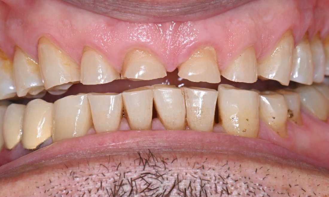
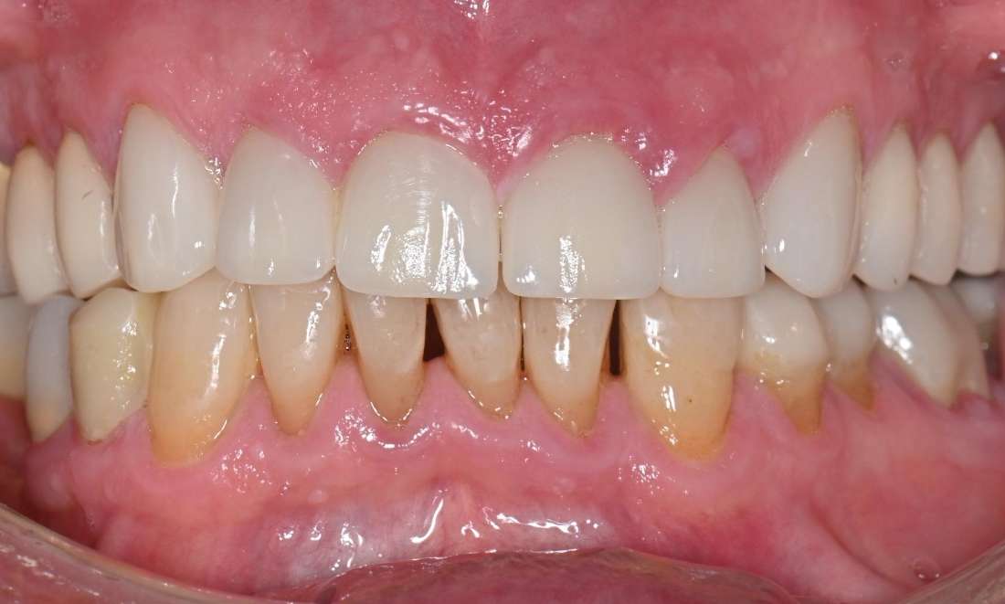
Full Mouth Rehab Results

Take a look at these incredible full mouth rehab results! This patient presented with several worn-down teeth, impacting their ability to chew, speak and smile with confidence.

Through a comprehensive treatment plan, we were able to replace and restore their worn dentition, addressing both function and aesthetics. The 'after' photo showcases not just a stunning, healthy smile, but a significant improvement in overall oral health and quality of life. It's truly rewarding to see such a complete and long-lasting result!

Are You Ready to Book Your Next Dental Visit?
Any surgical or invasive procedure carries risks. Before proceeding, you should seek a second opinion from an appropriately qualified health practitioner.