Lifetime Dental
Biological Dentists in Melbourne, VIC

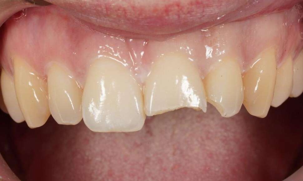
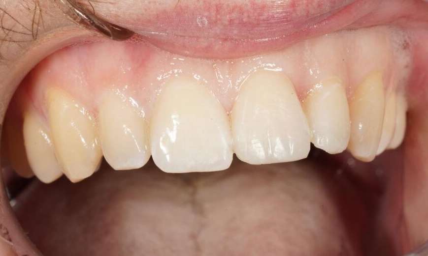
Resin Repair

Check out the remarkable transformation achieved with resin repair! This patient came to us with chipped or damaged teeth, seeking a solution that would restore both function and aesthetics. Using a high-quality resin material, we carefully shaped and sculpted each tooth, blending the repair seamlessly with the natural enamel. The before-and-after photos highlight not just restored teeth, but a refreshed and more radiant smile. It's amazing to see how such a subtle yet impactful change can make a huge difference in confidence and overall appearance!

Related Services:

Cosmetic Dentistry
Still need an appointment?
Any surgical or invasive procedure carries risks. Before proceeding, you should seek a second opinion from an appropriately qualified health practitioner.