Lifetime Dental
Biological Dentists in Melbourne, VIC

Resin Veneers

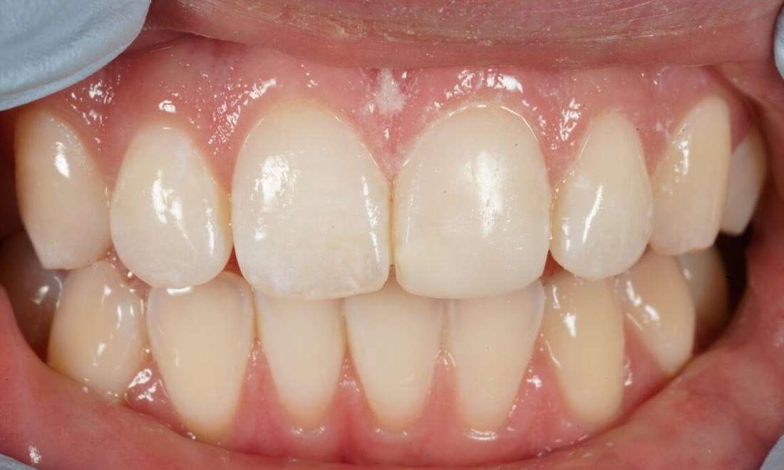
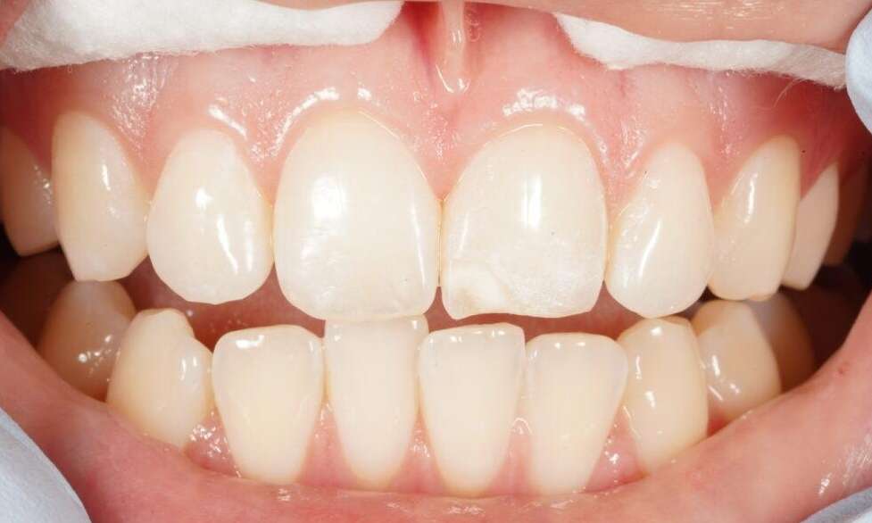
These before and after photos showcase the stunning results of using resin veneers to repair a chipped front tooth. The resin seamlessly blends with the natural teeth, restoring both function and beauty. The result is a flawless, confident smile that looks and feels completely natural. It’s incredible to see how such a simple procedure can make such a dramatic difference!

Related Services:

Cosmetic Dentistry
Are You Ready to Book Your Next Dental Visit?
Any surgical or invasive procedure carries risks. Before proceeding, you should seek a second opinion from an appropriately qualified health practitioner.